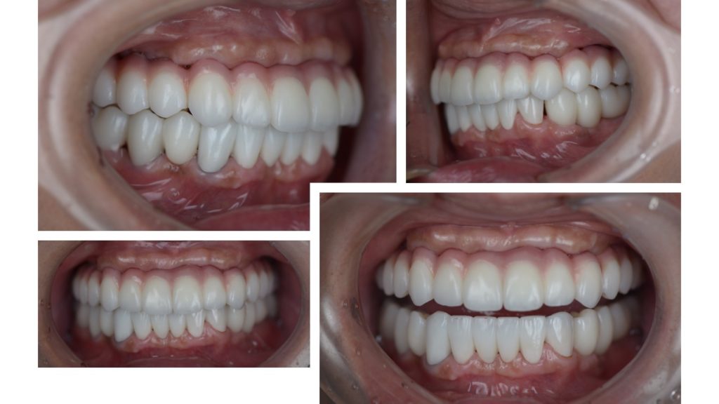
フルマウスリコンストラクション

様々な問題を抱えて来られた患者様。
しっかりと検査診断を行い、コンサルテーションを経て、全顎的に治療を行うこととなりました。
約2年の治療期間は必要でしたが、咬合的にも審美的にもとても安定した状態にすることが出来ました。
歯周治療から始まり、むし歯や歯根の治療により残せる歯は極力残し、
残念ながら残せなかった歯はサイナスリフトを含めた骨造成手術を行ったのち、インプラントにより補綴しました。
仮歯で噛み合わせのチェックを厳重に行い、最終的な被せ物が入ったときはとても喜んでおられました。
中津まさデンタルクリニックでは患者様としっかり相談してから治療することを心掛けておりますので、
何か気になることが御座いましたらお気軽にご相談ください。

