中津まさデンタルクリニック
国際口腔インプラント協会・専門医
ヘッダーイメージ画像
大阪市北区豊崎5丁目4-16 viviFURUYA豊崎1階
Tel.06-6373-8825(歯はにっこり)

中津まさデンタルクリニック

»WEB予約をご利用ください

中津まさデンタルクリニック・ブログ記事一覧

矯正について(ワイヤー矯正編)

こんにちは!中津まさデンタルクリニックです♪ 今回は歯列矯正の中でも一番メジャーでもあるワイヤー矯正のお話をさせていただきます🦷 最近はマウスピース矯正(インビザラインなど)も人気ですが、マウスピース矯正は次のブログに詳 […]

デュアルホワイトニングとは??

ホワイトニングとは、歯科医療従事者が行う審美治療のひとつです。 「中津まさデンタルクリニック」では、レーザーを使用せず、安心・安全なホワイトニングを行っております。 患者様お一人おひとりの歯の状況を考えてご提案しており、 […]

前歯部審美治療について(セラミック)

こんにちは!中津まさデンタルクリニックです(*´꒳`*) こちらは先日の患者様の前歯部の症例です。神経治療が必要だったため、セラミックの被せ物(クラウン)にしました。🦷 前歯は特に色味や見た目が難しいですが、技工士さんも […]

正中離開の治療方法について

こんにちは!中津まさデンタルクリニックです(#^.^#) 暑い日が続きますが、皆様、水分補給をしっかりして体調気を付けてくださいね!!♡ さて、今日は正中離開についてお話していきたいと思います。 皆さまは正中離開をご存知 […]

ホワイトニング(whitening) & セラミック(ceramic) 症例

こんにちは、中津まさデンタルクリニックです☺️ こちらは先日治療が終わられた外国人の患者さまの症例です。 左上の歯に虫歯があり、来院されました。ホワイトニングもご希望とのことで、ホワイトニングの色に合わせたセラミッククラ […]

審美治療について

こんにちは。中津まさデンタルクリニックです。 今日は審美治療についてお話させて頂きます。 詳しくは、ホームページに載っていますが、「審美」と聞くと、見た目の美しさをイメージされる方が大半だと思いますが、 中津まさデンタル […]

矯正について(小児矯正)

こんにちは。中津まさデンタルクリニックです。 こちらの患者様は、お子さまで、親御様が歯並びが気になるということで来院されました。 元々顎が小さいこともあり、上あごも深く、口呼吸をする気がありました。 そこで、鼻呼吸を促す […]

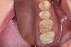
セラミックとは(ジルコニア)

歯に大きな虫歯ができてしまったとき、歯の神経を失って歯が弱くなってしまったとき、どのような材料を選ぶのが良いのかと よく患者様にもご説明します。 セラミックの利点は、 ・表面がツルツルしていて汚れが溜まりにくい ・ジルコ […]

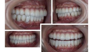
フルマウスリコンストラクション

様々な問題を抱えて来られた患者様。しっかりと検査診断を行い、コンサルテーションを経て、全顎的に治療を行うこととなりました。約2年の治療期間は必要でしたが、咬合的にも審美的にもとても安定した状態にすることが出来ました。歯周 […]

    審美

    矯正について(ワイヤー矯正編)

    こんにちは!中津まさデンタルクリニックです♪ 今回は歯列矯正の中でも一番メジャーでもあるワイヤー矯正のお話をさせていただきます🦷 最近はマウスピース矯正(インビザラインなど)も人気ですが、マウスピース矯正は次のブログに詳 […]

    デュアルホワイトニングとは??

    ホワイトニングとは、歯科医療従事者が行う審美治療のひとつです。 「中津まさデンタルクリニック」では、レーザーを使用せず、安心・安全なホワイトニングを行っております。 患者様お一人おひとりの歯の状況を考えてご提案しており、 […]

    前歯部審美治療について(セラミック)

    こんにちは!中津まさデンタルクリニックです(*´꒳`*) こちらは先日の患者様の前歯部の症例です。神経治療が必要だったため、セラミックの被せ物(クラウン)にしました。🦷 前歯は特に色味や見た目が難しいですが、技工士さんも […]

    正中離開の治療方法について

    こんにちは!中津まさデンタルクリニックです(#^.^#) 暑い日が続きますが、皆様、水分補給をしっかりして体調気を付けてくださいね!!♡ さて、今日は正中離開についてお話していきたいと思います。 皆さまは正中離開をご存知 […]

    ホワイトニング(whitening) & セラミック(ceramic) 症例

    こんにちは、中津まさデンタルクリニックです☺️ こちらは先日治療が終わられた外国人の患者さまの症例です。 左上の歯に虫歯があり、来院されました。ホワイトニングもご希望とのことで、ホワイトニングの色に合わせたセラミッククラ […]

    審美治療について

    こんにちは。中津まさデンタルクリニックです。 今日は審美治療についてお話させて頂きます。 詳しくは、ホームページに載っていますが、「審美」と聞くと、見た目の美しさをイメージされる方が大半だと思いますが、 中津まさデンタル […]

    矯正について(小児矯正)

    こんにちは。中津まさデンタルクリニックです。 こちらの患者様は、お子さまで、親御様が歯並びが気になるということで来院されました。 元々顎が小さいこともあり、上あごも深く、口呼吸をする気がありました。 そこで、鼻呼吸を促す […]

    セラミックとは(ジルコニア)

    歯に大きな虫歯ができてしまったとき、歯の神経を失って歯が弱くなってしまったとき、どのような材料を選ぶのが良いのかと よく患者様にもご説明します。 セラミックの利点は、 ・表面がツルツルしていて汚れが溜まりにくい ・ジルコ […]

    フルマウスリコンストラクション

    様々な問題を抱えて来られた患者様。しっかりと検査診断を行い、コンサルテーションを経て、全顎的に治療を行うこととなりました。約2年の治療期間は必要でしたが、咬合的にも審美的にもとても安定した状態にすることが出来ました。歯周 […]

生活に役立つ歯の情報を定期投稿
院長の渡部雅友先生や歯科衛生士スタッフが、それぞれの専門分野を活かして、日常生活に役立つ歯のお話を定期的に投稿しています。お時間があるときに、ぜひ過去の記事ものぞいてみてください。きっと気になる情報や役立つヒントが見つかると思います。